这些超声科新技术到底有多先进?
华容县人民医院最近引进了右心声学造影检查等超声科先进技术。这些技术到底有多先进?患者的体验告诉您。
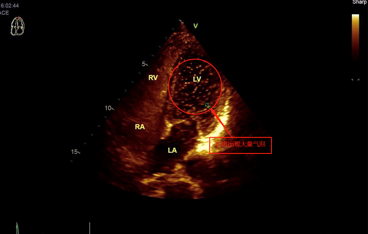
家住华容县32岁的叶女士是一位长期顽固性偏头痛的患者,服药后头疼症状无明显减轻,于是到华容县人民医院就诊。3月18日,医院超声科吴小勇主任为她进行了科室开展的新技术——右心声学造影,超声提示叶女士的心脏卵圆孔处多了个“心眼”,造成明显的右向左分流现象,至此,叶女士头痛的原因终于得以找到了最终,叶女士在行“房缺封堵术”后,多年的头痛症状明显缓解。

对此,超声科医师建议,对于常规检查无法找到原因的缺血性脑卒中,偏头痛,脑梗患者推荐进行右心声学造影检查。此项检查对病情诊断有着较高的参考价值。

近年来,华容县人民医院超声科不断加强科室业务创新的脚步,开展了经皮肝胆囊穿刺,胆管穿刺置管引流;肝胆、睾丸、甲状腺造影超声检查;超声引导下组织活检;右心造影;肝脏肿瘤、甲旁亢的微波消融治疗;甲状腺结节的针刺细胞学检查等一系列超声科先进技术,为临床医生做好诊断的“眼睛”。该医院将先进技术及时服务临床及患者,老百姓因此可第一时间在家门口享受到省内外领先的超声诊疗技术。
通讯员 :汤泽 张贝
一审:单铃铃
二审:王丽梅
三审:唐丽华
|
扫一扫在手机打开当前页 |
微信 ![]() |
